





































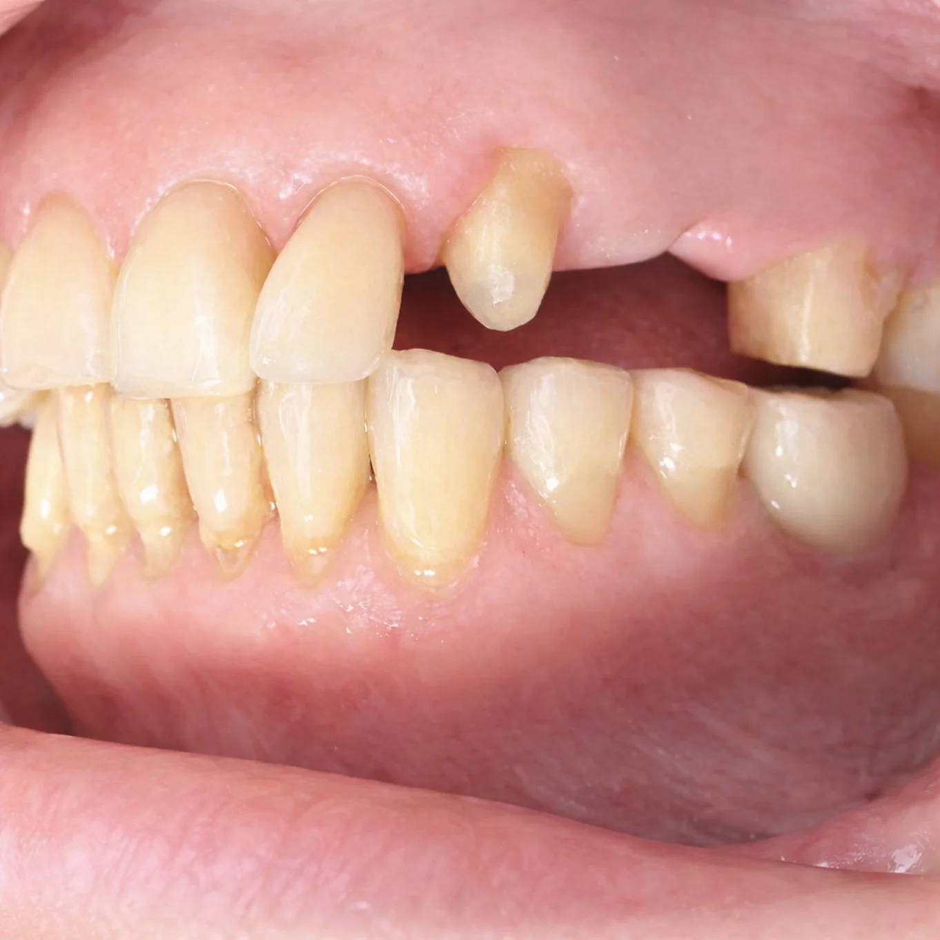
Коронка показана, якщо зуб зруйнований більш ніж на 70%, якщо він депульпований (без нерва), часто ламається, темніє або не тримає пломби. Це міцне рішення, яке відновлює форму, функцію та стабільність прикусу.
Міст застосовують при втраті одного чи двох зубів поспіль, коли немає можливості встановити імплант (дефіцит кісткової тканини, медичні протипоказання, брак місця) або коли опорні зуби вже мають великі пломби чи коронки. Конструкція відновлює жування та запобігає зміщенню зубів.
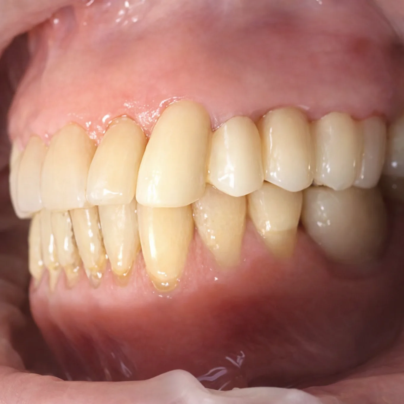
Так. І цирконій, і кераміка не змінюють колір, не викликають запалення ясен і виглядають як натуральні зуби.Завдяки 3D-скануванню та ручній роботі техніка ми точно відтворюємо форму, колір і пропорції.
За правильного догляду цирконієві та керамічні конструкції служать 10–15 років і більше. Вони міцні, стійкі до стирання, не темніють і тримають стабільну висоту прикусу багато років.
Ні. Підготовка зуба проводиться під анестезією, а якщо зуб уже без нерва — процедура взагалі проходить безболісно і не потребує додаткової анестезії. Ми використовуємо оптрагейт для комфорту та захисту губ і щік під час процедури.
Пломба підходить при невеликих дефектах.
Керамічна вкладка — коли зруйновано понад 50% зуба.
Коронка — необхідна при значному руйнуванні (70%+), депульпації, піднятті прикусу або коли потрібно відновити повну анатомію та міцність зуба. Коронка забезпечує найбільш стійке й прогнозоване відновлення.
Так. Ми протезуємо як імпланти, встановлені у нашій клініці, так і імпланти інших клінік. За потреби демонтуємо старі конструкції та замінюємо їх на нові, естетичні й функціональні.
Вартість — від 12 850 грн, і залежить від:
– матеріалу (кераміка чи цирконій),
– складності підготовки,
– типу конструкції,
– необхідності лікування каналів чи підняття прикусу.
Перед початком лікування ви отримуєте фінальний план і чітку вартість без прихованих платежів.